ABOUT US
广州市红实商贸有限公司,现为国际品牌以色列ADIN(雅定)种植系统中国地区总代理。
以色列ADIN集团公司位于以色列北部,有30年的口腔种植研发和生产经验,产品畅销全球73个国家,高品质的种植体、卓越的客户服务以及领先的研发团队,都是ADIN获得成功的完美秘诀,成为获得以色列总统佩雷斯嘉奖的种植体品牌。
多年来,ADIN不断专注于推进其高度专业的研发团队,以确保制造出技术先进的高品质产品。为了向客户提供最新的、紧跟时代的行业知识与信息,ADIN一直与业界领先的牙科专家、医生、技术人员(无论来自私营牙科还是公立医院又或者是来自顶尖大学下属的牙科学校)竭诚合作。
红实商贸一直奉行“专业 务实 高效 团结”的方针,不断开拓创新,以技术为核心、视质量为生命、视产品品质为生命、奉客户为上帝,竭诚为您提供性价比最高的口腔设备耗材及无微不至的售后服务。
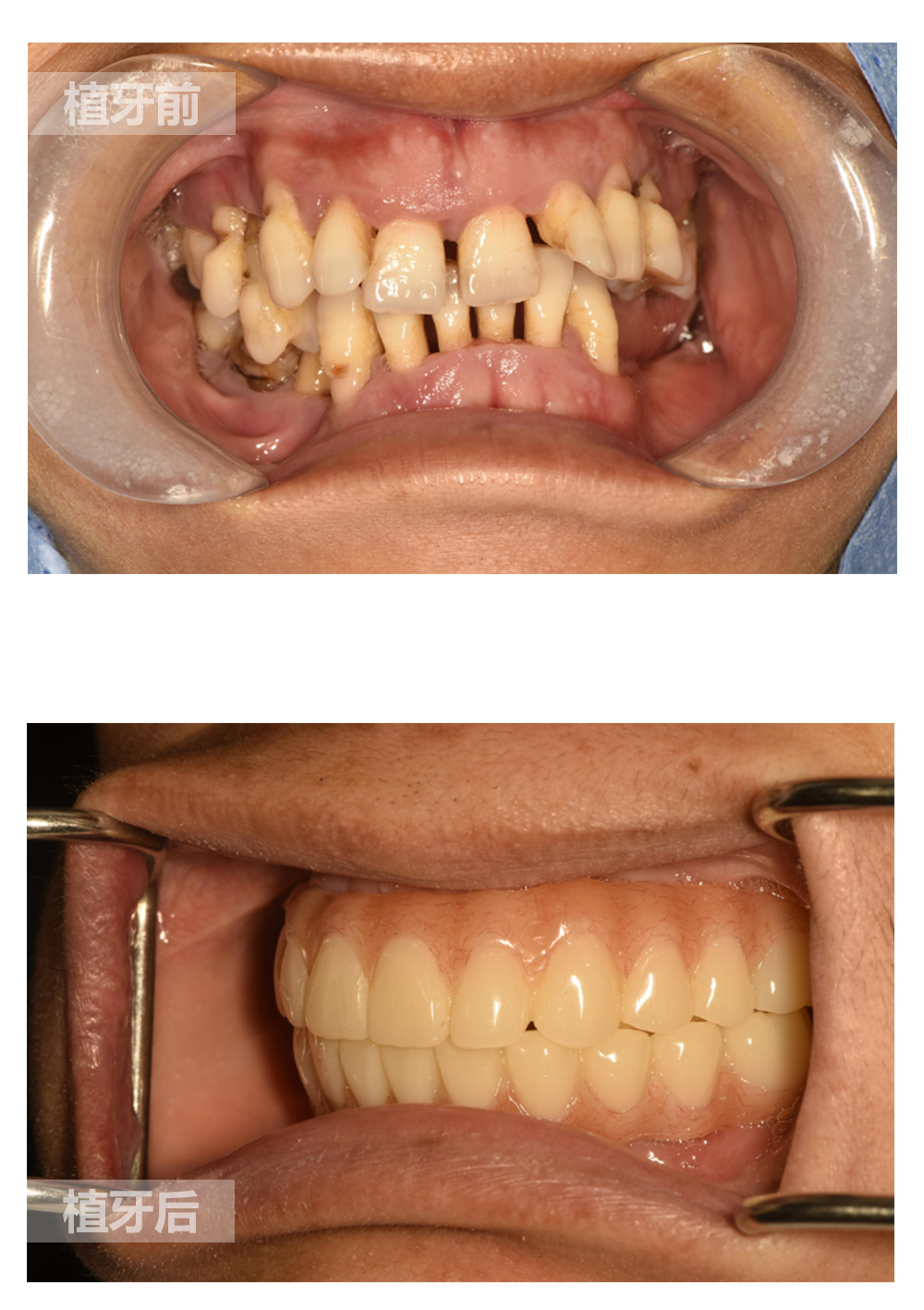
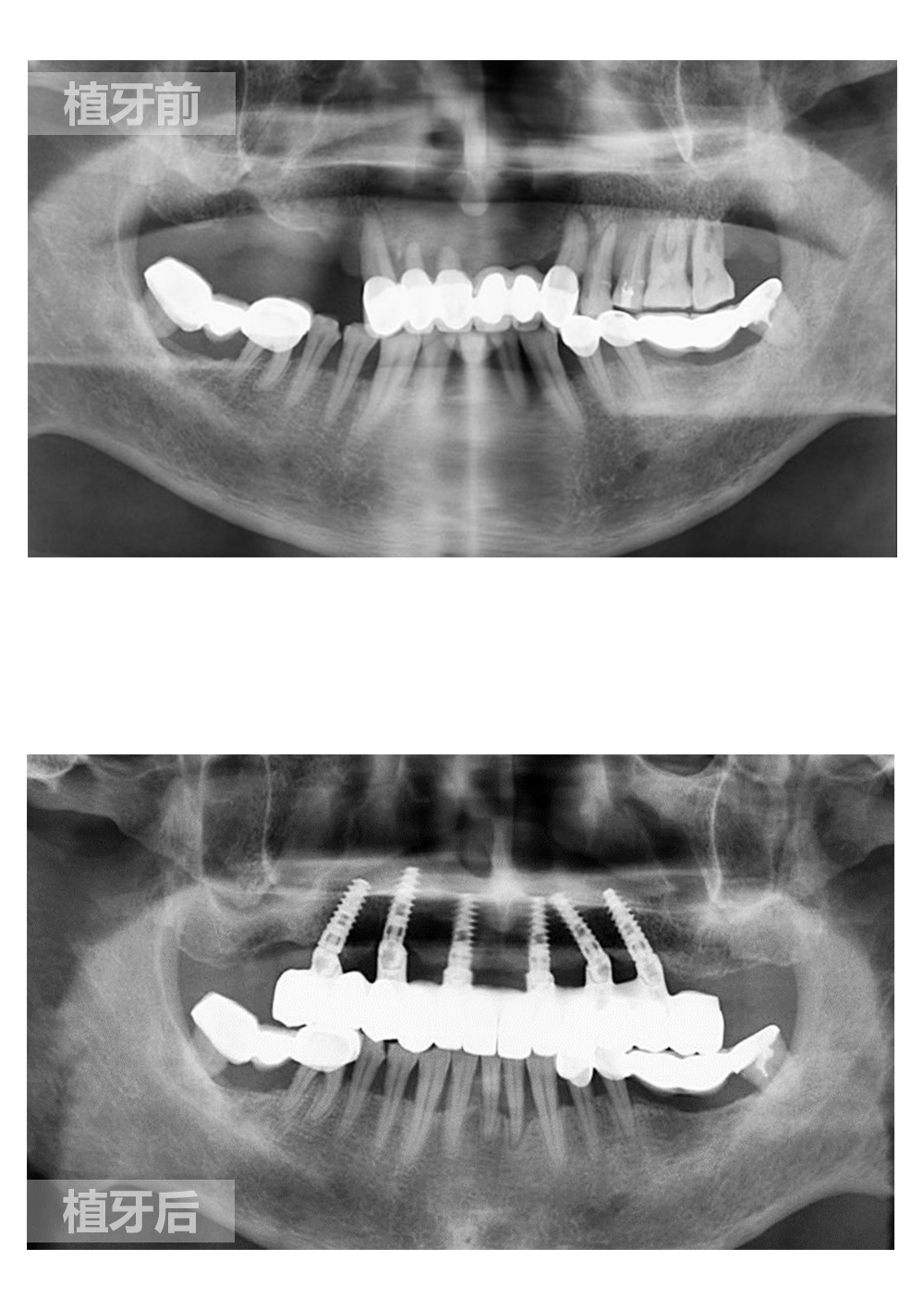
种植牙是在牙骨内植入人造牙根(即种植体),用来支持人造牙冠(义齿)。
种植牙要能够稳固地固定在颌骨内并将支持人造牙冠(义齿)。种植体是使用钛金属、钛合金或陶瓷制作的小螺钉 – 这些材料都具有很好的生物相容性,被人体接受。同时,钛金属与人类骨骼之间的结合效果十分优异。
局部麻醉状态下,进行种植体植入手术。种植体与骨牢固结合愈合后,人工牙根将为上部裸露牙冠提供支撑。
Message Board



中国总代理:广州市红实商贸有限公司
联系方式:400-8010256
邮件发送:lee@chinahongshi.cn
网 址:www.yadingteeth.com